
Trench Mouth Facts: Trench mouth, also known as acute necrotizing ulcerative gingivitis, is a severe and painful gum infection caused by bacteria. It earned its name during World War I, when soldiers in the trenches developed the condition due to poor oral hygiene and malnutrition. While it is less common today, trench mouth is still a serious and potentially dangerous condition that can cause a range of unpleasant symptoms. In this article, we will explore seven shocking facts about trench mouth that you won’t believe!
What is Trench Mouth?
Trench mouth is a severe gum infection caused by the bacteria Fusobacterium nucleatum, Prevotella intermedia, and Treponema denticola. These bacteria are normally present in the mouth, but when they multiply uncontrollably due to poor oral hygiene, malnutrition, stress, or other factors, they can cause the gums to become inflamed and infected.
1. What Causes Trench Mouth?
The primary cause of trench mouth is the overgrowth of bacteria in the mouth due to poor oral hygiene. When regular brushing and flossing are neglected, plaque buildup occurs, leading to the proliferation of harmful bacteria. However, several other factors can contribute to the development of trench mouth. Stress weakens the immune system, making the gums more susceptible to infection. Smoking and malnutrition also increase the risk of developing this painful condition.
2. Who is at Risk of Trench Mouth?
Trench mouth is more common in people who smoke, have poor oral hygiene, are malnourished, or have a weakened immune system. It is also more prevalent in people who are under a lot of stress, as stress can weaken the immune system and make it easier for bacteria to cause an infection and also people who have immune system diseases, particularly human immunodeficiency virus (HIV), are at increased risk for trench mouth.
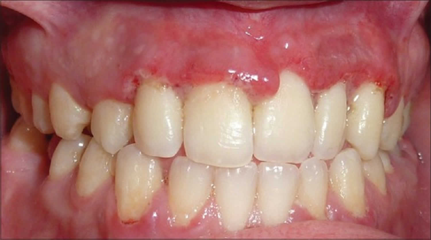
3. The Symptoms of Trench Mouth
The symptoms of trench mouth can be severe and include:
- Painful, bleeding gums
- Bad breath
- A metallic taste in the mouth
- A gray film on the gums
- Ulcers on the gums
- Swollen lymph nodes
- Fever
4. Trench Mouth Can Spread to Other Parts of the Body
If left untreated, trench mouth can spread to other parts of the body and cause more serious infections. In rare cases, it can even be fatal. Trench mouth can spread to the throat, lungs, liver, and other organs, causing abscesses, pneumonia, sepsis, and other life-threatening conditions.
5. Trench Mouth is Linked to Stress
As mentioned earlier, stress can weaken the immune system and make it easier for bacteria to cause an infection. In addition to that, stress can also cause people to neglect their oral hygiene and eat poorly, both of which can increase the risk of trench mouth.
6. Trench Mouth Can Be Treated and Prevented

Treating trench mouth requires a multi-faceted approach aimed at controlling the infection, relieving pain, and promoting healing. Professional dental cleaning to remove plaque and tartar is often the first step. Trench mouth can be treated with antibiotics, painkillers, and oral rinses. In severe cases, surgery may be required to remove damaged tissue. To prevent trench mouth, it is important to maintain good oral hygiene by brushing and flossing regularly, avoiding tobacco and alcohol, eating a balanced diet, and managing stress.
7. Trench Mouth is Not the Same as Other Gum Diseases
Trench mouth is a distinct condition that is different from other gum diseases, such as gingivitis and periodontitis. While these conditions also involve inflammation and infection of the gums, they are caused by different bacteria and have different symptoms and treatments.
In conclusion
trench mouth is a serious and potentially dangerous gum infection that can cause a range of unpleasant symptoms. While it is less common today than it was during World War I, it is still important to be aware of its risks and symptoms. By maintaining good oral hygiene, managing stress, and seeking prompt treatment if symptoms occur, you can protect yourself from this shocking condition.
Can Trench Mouth be transmitted from person to person?
No, trench mouth is not a contagious condition. It is caused by an overgrowth of bacteria that are normally present in the mouth.
Can Trench Mouth be cured without antibiotics?
While antibiotics are often necessary to treat trench mouth, practicing good oral hygiene and maintaining a healthy lifestyle can help prevent the condition from occurring or recurring.
Can Trench Mouth lead to tooth loss?
If left untreated, trench mouth can cause severe gum damage and tooth loss. Seeking prompt treatment is crucial to prevent long-term complications.
Trench Mouth Facts: Can Trench Mouth be prevented by using mouthwash alone?
While using mouthwash can help maintain oral hygiene, it is not sufficient on its own to prevent trench mouth. Regular brushing, flossing, and a balanced diet are also important for prevention.
Is Trench Mouth a common condition today?
Trench mouth is relatively rare today, thanks to improved oral hygiene practices and better access to dental care. However, it can still occur in individuals with poor oral health and certain risk factors.



